Аллергия
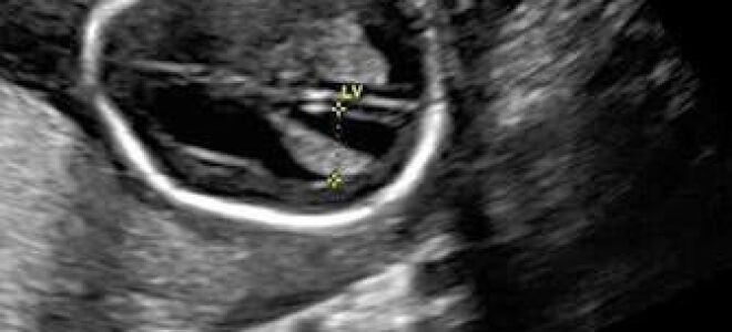
Вентрикуломегалия у грудничка: что это и насколько опасно?
Вентрикуломегалия у плода – патология, характеризующаяся увеличением в размерах мозговых желудочков.
Бывает ли у собак депрессия
Часто владельцы собак различных пород не обращают внимания на то, что пёс погрустнел и, казалось бы, впал в депрессию.
Болят глазные яблоки: почему возникают такие ощущения и о чем это говорит?
В его структуру входит плотная сеть болевых рецепторов, а также нервных окончаний.
Боль в позвоночнике между лопаток отдает в грудную клетку, шейный отдел, ноющая, сильная, пульсирующая
По данным Всемирной организации здравоохранения заболевания позвоночника занимают второе место в мире по распространенности.
Болит голова в области затылка: виды, характер боли, диагностика, лечение.
Появление болезненности связывают с патологией следующих затылочных структур:.
Предыдущая страницаСледующая страница
Для любых предложений по сайту: chinamednsk@cp9.ru